
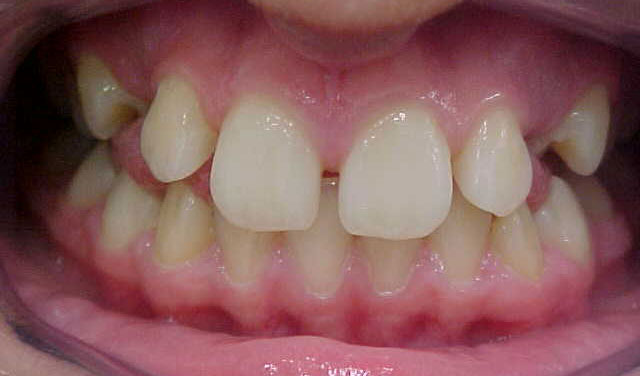
Case 1 – Fixed Braces

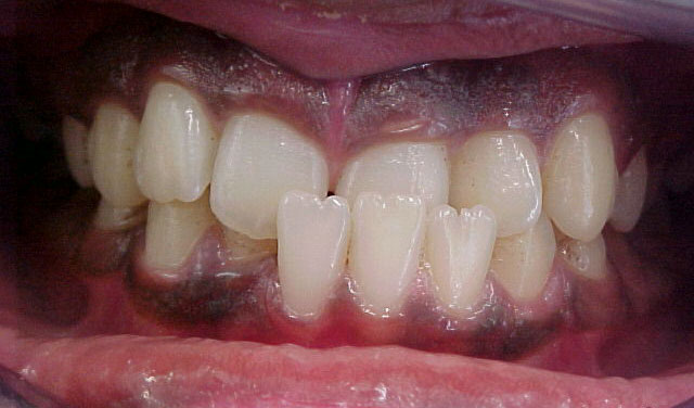
Case 2 – Fixed Braces

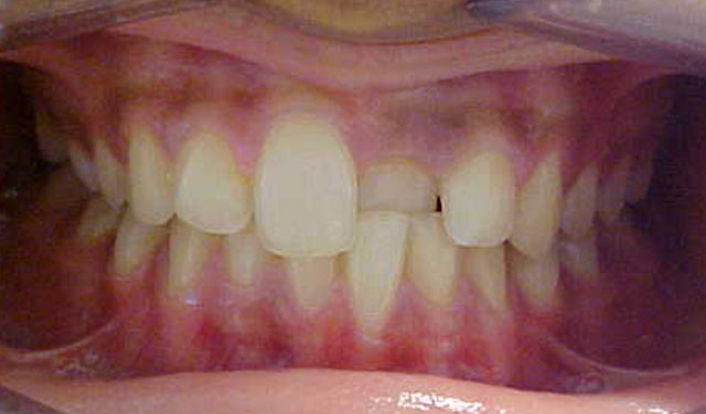
Case 3 – Fixed Braces

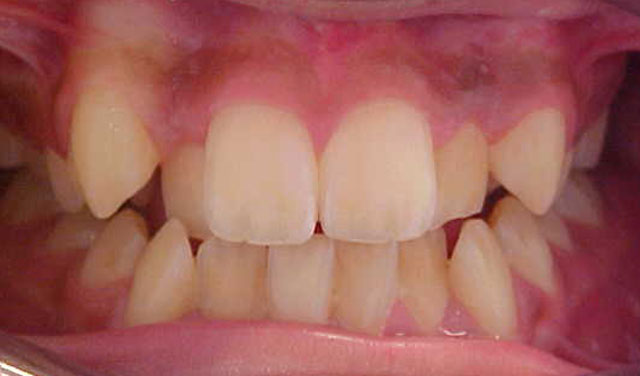
Case 4 – Fixed Braces

Case 5 – Fixed Braces

Case 6 – Fixed Braces

Case 7 – Fixed Braces

Case 8 – Fixed Braces

Case 9 – Fixed Braces

Case 10 – Fixed Braces

Case 11 – Invisalign

Case 12 – Invisalign












